
חדשות בארץ

החופש הגדול בעיצומו והילדים נתונים יותר לסכנות, בבית ומחוצה לו. כך למשל, שלושה מקרי בליעה לא שגרתיים ומסוכנים בהחלט אירעו בבית החולים רמב"ם בשלושת הימים האחרונים.
המקרה הראשון אירע שלשום, כאשר תינוק כבן שנתיים המתגורר באזור חיפה, הגיע למלר"ד רמב"ם כשהוא סובל מקושי באכילה ושתייה ואף הפסיק בעקבות כך לינוק. בירור במרפאה בקהילה העלה חשד כי ייתכן שמדובר בבליעת גוף זר שנתקע בבסיס הלשון שלו. אלא שבשל הקושי לאמת את החשד, הופנה הפעוט לבית החולים להמשך בירור.
"הפעוט התקשה לפתוח את הפה ולא הצלחנו לראות מה באמת מפריע לו", מספר ריאד שיח', אח אחראי במלר"ד הילדים ברמב"ם, "אבל מההיסטוריה הרפואית והבדיקות שעבר, היה ברור שיש פה בעיה. לאחר שהוא עבר טשטוש, הצלחנו להבחין בחתיכת פלסטיק שנעוצה עמוק בבסיס הלשון שלו. הצוות במלר"ד שלף את החתיכה, שנראית כמו חלק מטבעת האיטום של בקבוקי מים מינרלים. אין ספק שדבר כזה, שנעוץ בלשון של ילד, יכול להפריע לו מאוד. הפעוט נותר להשגחה ושוחרר לביתו אתמול".
במקרה אחר הגיע לרמב"ם תינוק כבן שמונה ימים בלבד, ועבר בירור במכון לגסטרואנטרולוגיה ותזונה לילדים במקום. הוריו של התינוק סיפרו כי הוא ככל הנראה בלע חתיכת פלסטלינה שהיתה מונחת על הרצפה בעת שזחל.
פרופ' רון שאול, מנהל המכון, התייחס למקרה ואמר כי "במקרים רבים עצמים זרים עוברים את מערכת העיכול ויוצאים מגוף המטופלים באופן טבעי". לדבריו, "אנחנו מעדיפים להתערב כמה שפחות, בוודאי כאשר מדובר במטופלים הצעירים יותר, וממתינים בסבלנות עד שלא נותרת לנו ברירה. כך גם היה הפעם. משראינו שאין התקדמות במישור הזה, החלטנו לבצע התערבות. נמצא שחלק מהפלסטלינה ישב בלוע וחלק על דרכי האוויר של התינוק. שלפנו את כל החומר מגופו באמצעות אנדוסקופ מונחה מצלמה, ולאחר שהתינוק התאושש, הוא שוחרר לביתו כשהוא חש בטוב".
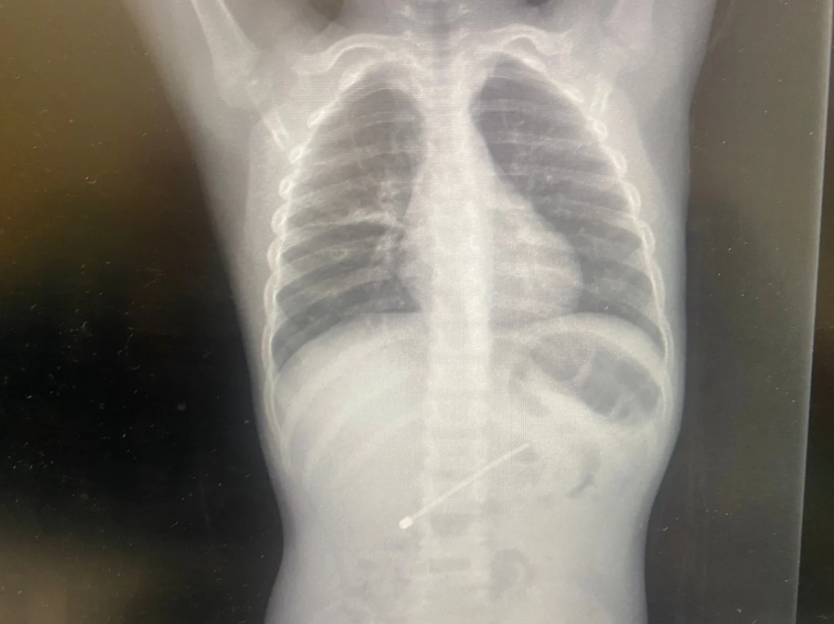
המקרה האחרון אירע היום (חמישי), כאשר אנטנה של מכשיר אלקטרוני, באורך 7.5 ס"מ, נשלפה מגופו של ילד כבן חמש. הילד טופל על ידי צוות המכון לגסטרואנטרולוגיה ותזונה לילדים ברמב"ם, שהוציא את הגוף הזר מגופו באמצעות טשטוש.
במכון אמרו כי "עצם שבנוי באופן הזה ונבלע, לא יכול היה לצאת מגוף הילד באופן טבעי מבלי לגרום לו לנזק מסכן חיים בדרך". לדבריהם, "הליך פולשני לשליפת העצם באופן מבוקר, היה הכרחי".
סולאפה חמאיסי, אחות אחראית במכון לגסטרואנטרולוגיה ותזונה לילדים ברמב"ם, סיפרה כי "האנטנה שנבלעה על ידי הילד החמוד נמצאת כעת, בתוך צנצנת, לצד כפיות, מגנטים, משחקים שונים, בטריות, תכשיטים ועוד עצמים שילדים בולעים".
עוד היא הוסיפה: "יש לנו ארון שבו אנחנו שומרים ואוצרים את כל העצמים הללו, לאחר שהוצאו מגוף המטופלים שלנו. המטרה היא להעלות מודעות לסכנה שבבליעת חפצים זרים. זו אחת מהסכנות הנפוצות ביותר בסביבה הביתית, ואנחנו נוהגים להציג את התערוכה המוזרה הזו להורים ולצוותים רפואיים. אולי, ככה, המסר יחלחל בצורה טובה יותר, ומספר המקרים שמגיעים אלינו, ילך ויפחת. בינתיים, אנא, שמרו על הילדים".
מתחילים את השנה עם זכויות של זיכוי הרבים וזוכים בשפע עצום - לחצו כאן >>>
מצאתם טעות בכתבה? כתבו לנו