
בריאות

ויולטה, ילדה בת אחת עשרה מבלארוס, סיימה לאחרונה את אחד הניתוחים הנדירים והמורכבים שנערכו בבית החולים שניידר, והיום היא כבר מחוץ למחלקה. אחרי קרב של שנתיים עם גידול סרטני מסוג יואינג סרקומה, סרטן אגרסיבי ובלתי שגרתי בעצמות, היא ניצחה.
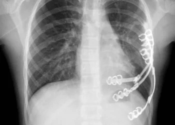
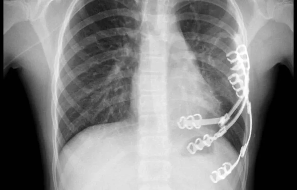
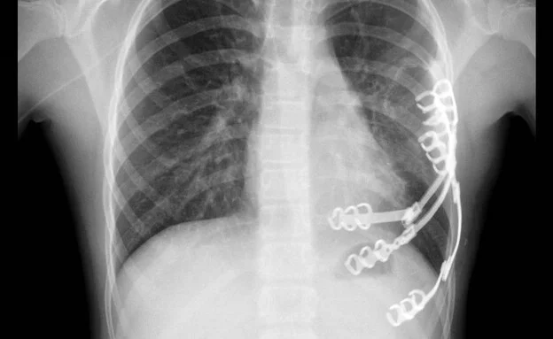
ויולטה הגיעה לישראל במסגרת תיירות מרפא, לאחר שהגידול בגופה הפך בלתי ניתן לשליטה. במשך חודשים עברה תשעה סבבים של כימותרפיה, עד שניתן היה לגשת לניתוח. הסרת הגידול כולו יחד עם חלק מכלוב הצלעות שנפגע, והשתלת שתלים מיוחדים עשויי טיטניום במקומו.
מדובר בניתוח ראשון מסוגו בבית החולים, שנוהל בשיתוף פעולה בין צוותים מבתי החולים שניידר ובילינסון, בהובלת דוקטור יורי פייסחוביץ מבילינסון ודוקטור מיכאל סגל משניידר.
לצד צוות כירורגי נרחב שכלל מנתחי חזה, פלסטיקאים ואורתופדים אונקולוגיים, עמדה דוקטור אורלי מיכאלי, אונקולוגית בכירה שניהלה את הליווי הרפואי של ויולטה.
"הילדה הזאת לוחמת", אמרה. "עמדנו מול אתגר רפואי שטרם התמודדנו איתו, אבל בזכות הגישה הרב תחומית, השילוב בין טיפול אונקולוגי ממוקד לניתוח כירורגי מתקדם, הצלחנו להעניק לה סיכוי ממשי לשיקום והחלמה."
ויולטה שוחררה מהמחלקה וממשיכה מעקב רפואי. התמונות שפורסמו מלמדות הכול: ילדה מחייכת, צוות רפואי מחבק, ואמא אחת שמביטה קדימה בתקווה.
המקרים הקשים שוברים את הלב - המסייעים יראו ישועות מעל הטבע! לחצו כאן >>>
מצאתם טעות בכתבה? כתבו לנו