
חדשות

נס של ממש התרחש השבוע במרכז הרפואי "העמק" בעפולה, כאשר פעוט כבן שנתיים הובהל למקום כשהוא נתון בסכנת חיים, לאחר שבלע כדורי מגנט קטנים. נזק חמור נגרם למעיים של הפעוט והוא הוכנס מיד לניתוח חירום מציל חיים. בחסדי ה' וברחמים רבים הצליחו הצותת הרפואי להציל את חייו של הפעוט ולייצב את מצבו.
אביו של הפעוט סיפר היום (שני) על הרגעים המבהילים: "לאחר לילה של הקאות ושלשולים לקחנו את הבן שלנו לרופא הילדים. הרופא הבין שהילד סובל מכאבי בטן עזים, נראה מיובש ותשוש ולכן והפנה אותנו למחלקה לרפואה דחופה במרכז הרפואי העמק".
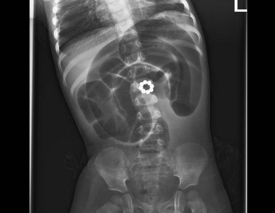
עד הוסיף האב כי "לאחר בדיקות מקיפות שכללו צילום חזה ובטן ואולטרסאונד גילו שהבן שלי בלע 8 מגנטים קטנים שגרמו לנזק רב במעיים. תוך שעה מרגע האבחון הוא כבר נכנס לניתוח חירום שהציל את חייו. הצוות שטיפל בנו עשה הכל ברגישות ומקצועיות, הם תמכו בנו ברגעים הקשים".
לדבריו, "לאחר הניתוח הוא הועבר למחלקה לטיפול נמרץ בילדים וזה הרגע שבו הבנו עד כמה הילד היה בסכנת חיים. קשה לראות את התינוק שלנו בן השנתיים מורדם ומונשם, מחובר להמון מכשירים. לאחר שהעירו אותו ומצבו השתפר, הוא היה צריך להיות בצום מספר ימים, ורק אז יכולנו להתחיל בתזונה מותאמת. אני מבקש להזהיר את כל ההורים, הרחיקו בבקשה את המגנטים מהבתים, בדקו עם מה הילדים שלכם משחקים גם כשהם לא בבית וחסכו מהם ומכם המון סבל וכאב".
ד"ר מרק ארקוביץ', מנהל המחלקה לכירורגית ילדים, שביצע את הניתוח בפעוט, הדגיש את המסוכנות והסביר: "מגנטים הם משחק מסוכן מאוד עבור ילדים. כאשר הפעוט בולע יותר ממגנט אחד, הם נצמדים זה לזה בתוך מערכת העיכול ועלולים לגרום לקרעים במעיים ואז תכולת המזון במעיים נפלטת אל הבטן וזו סכנת חיים של ממש. במקרה הזה המטופל הגיע עם נמק במעי אחרי ששמונת המגנטים שהוא בלע נצמדו אחד לשני וחסמו את זרימת הדם לאזור. המגנטים חסמו את תנועת המזון במערכת העיכול."
לדבריו, "בניתוח החירום הוצאנו את המגנטים, והסרנו שני אזורים שהיו נמקים וביצענו השקה של החלקים הבריאים. לצערי, פעוטות שבולעים מגנטים זה אירוע שכיח והטיפול הכי טוב הוא פשוט למנוע מקרים אלו. הרחיקו מהישג ידם של ילדים מגנטים ואם עולה חשש שהפעוט בלע מגנטים, או חפצים אחרים חשוב מייד לפנות לטיפול רפואי".
מתחילים את השנה עם זכויות של זיכוי הרבים וזוכים בשפע עצום - לחצו כאן >>>
מצאתם טעות בכתבה? כתבו לנו